29 KiB
The chemical senses
- smell (olfaction)
- phermones (vomeronasal)
- taste (gustation)
Note:
Phylogenetically oldest sense.
While it is not considered very important in humans compared to other senses, the olfactory and gustatory systems play a powerful role in influencing the behavior of animals including ourselves. Think about the fantastically strong emotional memories tied to smells— the olfactory system when robustly stimulated can have much influence over the formation of olfactory tied memories through its direct connectivity to the limbic and memory systems of the brain. We’ll learn a bit about this connectivity later.
Mucus membranes of eyes face mouth
Olfactory system
- Detects airborne molecules called odorants
- Influences feeding behaviors, social interactions, and even reproduction
- Provides information about the identity, concentration, and quality of a wide range of chemical stimuli
Note:
- Provides information about food, self, others, animals, plants, etc.
The route of olfaction
- Odorants bind to specific receptors on olfactory receptor neurons (ORNs) found in the dorsal epithelium of the nose
- ORNs project to the ipsilateral olfactory bulb, which in turn sends projections directly to the cerebral cortex, including the pyriform cortex, amygdala, and entorhinal cortex in the temporal lobe
- Pyriform and entorhinal cortex and amygdala is part of archicortex– phylogenetically older (and more simply layered) than the neocortex (6 layers)
- Unique among senses in that it does not include a thalamic relay between primary receptors and the cerebral cortex
- Pyriform cortex relays information via the thalamus to the associational cortex to initiate motor, visceral, and emotional reactions to olfactory stimuli
Note:
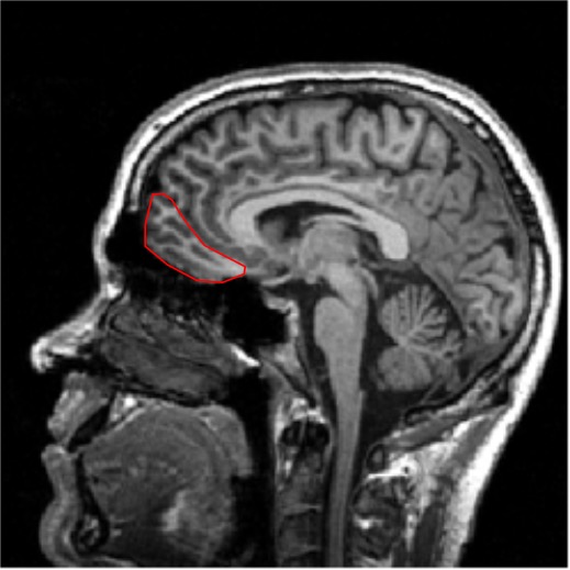
Human olfactory bulb

| species | olf bulb surface area (cm2) | number of olfactory receptor neurons |
|---|---|---|
| human | 10 | 1.2x107 |
| rat | 15 | 1.5x107 |
| cat | 20 | |
| dog | >150 | 1.0x109 |
Note:
humans 12 million ORNS rats 15 million ORNS dogs 1 billion ORNS
human brain: 20cm long rat brain: 3cm long
Dogs smell better than humans


Note:
Organization of the human olfactory system

Note:
The flow of olfactory information

Olfactory perception
- Is not as acute in humans as in a number of other animals
- Less acute in humans because of less receptor neuron density and also a lesser amount of relative cortex used to process information
Note:
Fun olfaction factoids:
- Odors can be detected at very low concentrations (bell peppers 0.01 nM)
- Small changes in molecular structure can change perception
- Anosmics are people who cannot smell specific odors. 1/100 people cannot smell skunk, 1/10 hydrogen cyanide
Human odor detection thresholds
| Compound | Odor threshold in air (parts per billion) |
|---|---|
| methanol | 141,000 |
| acetone | 15,000 |
| formaldehyde | 870 |
| menthol | 40 |
| T-butyl mercaptan | 0.3 |
Note:
rats 8-50 times more sensitive to odors than humans
dogs 300-10000 times more sensitive
humans have 10 million ORNs, dogs have 1 billion
butyl mercaptan: similar to major constituent of defensive spray in skunk
tert-butyl mercaptan: natural gas additive
D-limolene (citrus): humans can smell at 15 molecules per billion
ozone: 10 molecules per billion
small molecular changes can matter to odorants: D-carvone smells like spearming, L-carvone smells like caraway seeds in rye bread
Combinatorial coding
- Distributed code for face representation
- Color coding by S, M, L cones
- Language is combinatorial
- 26 letters gives many different words
Note:
- alphabet
- a set of letters or symbols in a fixed order, used to represent the basic sounds of a language
- the basic elements in a system that combine to form complex entities
The vomeronasal organ
- Many species have a specialized structure that recognizes species-specific odorants called pheromones that play important roles in innate social, reproductive, and parenting behaviors
- The vomeronasal organ (VNO) projects to the accessory olfactory bulb, which in turn projects to the hypothalamus
- The VNO is absent or not very prominent in primates (including humans) and there is debate as to whether humans detect pheromones
- In animals a lesion in the main olfactory projection leaves reproductive behaviors intact, however lesions of the VNO projection severely compromises sexual selection and dominance hierarchies
Note:
rudimentary VNO found in 8% of adults. And VNO projects to special region of ob called accessory olfactory bulb which is also largely absent in primates.
mating, aggression behaviors etc
loss of sex discrimination and male male aggression in mice without TRP2
TRP2/TRPC2: Transient receptor potential cation channel, subfamily C, member 2. Not expressed in humans
Stowers, L.; Holy, T. E.; Meister, M.; Dulac, C.; Koentges, G. (2002). "Loss of sex discrimination and male-male aggression in mice deficient for TRP2". Science 295 (5559): 1493–1500. Bibcode:2002Sci...295.1493S. doi:10.1126/science.1069259.
http://science.sciencemag.org/content/295/5559/1493.full-text.pdf+html
Pheromones and the VNO

Note:
Mouse pheromones
Record from a neuron in the AOB, pink area is when mouse is sniffing at face. Yellow are is when sniffing genitals.

Human pheromones?
- Female rodents (mice) grouped together synchronize their estrous cycle upon exposure to pheromones in male mouse urine (‘Whitten effect’). This depends on pheromone receptors and VNO—>AOB connectivity.
- VNO is vestigial in humans
- Myth: women who live in close proximity synchronize their menstrual cycle (the ‘McClintock effect’, after McClintock, Nature 1971). The current scientific evidence for this effect in human is not strong.
- However there’s some evidence for odorants working as pheromone-like molecules to influence behaviors (attraction, fear) mediated by the main olfactory system
Note:
Human pheromones??
vestigial. VNO anatomy is non-functional in human.
TRPC2 are pseudogenes in human.
myth of mcclintock effect. statistical issues with these studies, no one has reported human estrous cycle synchrony over more than 6-9 months as indeed the original study was on college women at wellsey over the period of one academic calendar year. Windshield wiper, coupled oscillator analogy. Just out of phase.
But other animals…
And olfactory cues that aren’t necessarily odorless certainly can affect our behavior and pheromone like molecules may act through our olfactory system
from: http://www.sciencedirect.com/science/article/pii/S2090123211000397
mother-child interactions at birth
from http://www.ncbi.nlm.nih.gov/books/NBK55967/
Different works have shown that odor-cued memories are more emotional than memories triggered by visual or verbal cues
from one website:
Pheromones are naturally occurring odorless substances the fertile body excretes externally, conveying an airborne signal that provides information to, and triggers responses from, the opposite sex of the same species.
oxford dictionary doesn’t include the word ‘odorless’.
wikipedia: A pheromone (from Ancient Greek φέρω phero "to bear" and hormone, from Ancient Greek ὁρμή "impetus") is a secreted or excreted chemical factor that triggers a social response in members of the same species.
the adult human VNO, in different studies, has been reviewed as non-functional as it contains few neurons and has no sensory function where no cells were shown to express olfactory marker protein, have synaptic contacts or have evidence for a nerve connecting to/from the VNO
VNO is vestigial in humans: VRs and TrpC2 are pseudogenes
myth: women who live in close proximity synchronize their menstrual cycle (the McClintock effect, McClintock, Nature 1971)
However there’s some evidence for pheromone like molecules and behaviors (attraction, fear) mediated by the main olfactory system
whitten effect: exposure of grouped female mice to phermones in male mouse urine synchronizes their estrous cycle. The pheromones in male urine are dependent on male sex hormones like testosterone.
from http://www.informatics.jax.org/silver/chapters/4-3.shtml
The normal estrus cycle of a laboratory mouse is 4-6 days in length
vandenburgh effect: early estrous cycle induction in prepubertal female mice exposed to urine from dominant male
lee-boot effect: suppression or prolongation of estrous cycle in female mice (and other rodents) when mice housed in groups and isolated from other males
bruce effect: female mouse pregnancy termination from exposure to scent of unfamiliar male
http://www.ncbi.nlm.nih.gov/pubmed/22087345
Latent toxoplasmosis, a lifelong infection with the protozoan Toxoplasma gondii, has cumulative effects on the behaviour of hosts, including humans. The most impressive effect of toxoplasmosis is the "fatal attraction phenomenon," the conversion of innate fear of cat odour into attraction to cat odour in infected rodents.
phylogenetic distance human, mouse, rat:
from http://www.ncbi.nlm.nih.gov/pmc/articles/PMC524408/ 2003
human and rodents diverged ∼75 million years ago, whereas mouse and rat diverged ∼12-24 million years ago[Waterston et al. 2002; Rat Sequencing Project Consortium 2004]
-human has equal genetic distance from both rodents
-human has been evolving from human/rodent common ancestor at slower rearrangement rate and thus has a more ancestral genome
Rat Closer to Human?
rearrangement differences between the two rodents suggest that, except for the small inversions, overall, the rat genome might have a structure on a large scale closer to the human genome than the mouse genome.
lacking the extra interchromosomal changes of mouse (Table 3), many rat fragments are closer to human.
In terms of chromosome morphology (and possibly the genome size as well), rat is also between mouse and human.
from https://www.genome.gov/11511308 2012
Humans have 23 pairs of chromosomes, while rats have 21 and mice have 20.
all three organisms to be related to each other by about 280 large regions of sequence similarity - called "syntenic blocks" - distributed in varying patterns across the organisms' chromosomes.
50 chromosomal rearrangements occurred in each of the rodent lines after divergence from their common ancestor
number of chromosomal rearrangements, as well as other types of genome changes, was found to be much lower in the primate lineage, indicating that evolutionary change has occurred at a faster rate in rodents than in primates.
Olfactory receptors
- Discovered by Linda Buck and Richard Axel. Shared nobel prize in 2004
- They found that olfactory receptors comprise a large GPCR gene family (~1000 olfactory receptors)
- Each olfactory neuron expresses a single olfactory receptor
- Each receptor can bind to multiple odorants
- Each neuron that expresses a given receptor targets to the same glomeruli in the olfactory bulb
Note:
Linda Buck and Richard Axel "for their discoveries of odorant receptors and the organization of the olfactory system"
Olfactory receptors
Note:
red arrows indicate intron locations of splice sites in other animals. Mammalian genes for ORs lack introns.
largest single known gene family in all mammals. Representing 3-5% of genome. Perhaps 60% of these 950 OR genes are not transcribed in humans and chimps rendering them pseudogenes, vs 15-20% in mice and dogs.
- pseudogene
- sequence of DNA containing a promoter and transcription initiation site, but due to sequence changes the DNA cannot be transcribed into a stable mRNA or the transcript cannot be translated into a protein
Anatomy of the olfactory epithelium

Note:
Olfactory receptor signal transduction
- Binding of odorant to receptor activates a Gα (Called G-olf) that in turn activates adenylyl cyclase
- cAMP gates a Na+/Ca2+ cation channel. Calcium rushes in and activates a Cl- channel. Chloride normally high in-low out in olfactory neurons and thus Cl- leaving also depolarizes cell
Note:
ORN receptor potentials generated in cilia

Note:
ORNs are continuously generated from basal cells
- Turnover of 6-8 weeks in rodents
- Susceptible to pollutants, allergens...
- Source of neural stem cells

basal cells and progeny in labeled in red
blue is all cell nuclei
green for OMP at right
Olfactory receptor signal transduction

Note:
How would you desensitize odorant pathway? PDE, Ca-Cam blocks cAMP channel
Adaptation comes from calmodulin binding up the Ca2+ and closing
Cl- channels and also from being pumped out.
Molecules critical to odorant signal transduction

Note:
Minty odor
EOG electroolfactorogram
A single olfactory receptor can be activated by single or groups of stimuli

Note:
Eucholipyol, banana oil
But there is also broad OSN tuning--
- Primary olfactory sensory neurons are broadly tuned to odorants
- Sicard and Holley (1984) Brain Research 292:283
Eucalyptol is cineole
Camphor is the smell of turpintine. Aromatic
The olfactory bulb
- A small structure above the nasal passages
- Site where sensory information is collected and gets sorted
- Sensory neurons project to glomeruli
- Olfactory receptor neurons synapse onto the dendrites of mitral cells which then project to the cerebral cortex
Note:
ORNs that carry same olfactory receptors converge upon same glomeruli (Mombaerts et al Cell 1996)
Localization preserved in the olfactory bulb
Note:
Olfactory receptors are localized into discreet areas

omp (green all ORNs). Adenylyl cyclase II (red) limited to olfactory cilia
all ORNs
I7 ORNs
M71 ORNs
Neurons of olfactory bulb
- Mitral cell, dendrites to a single glomerulus and axon to brain
- Tufted cell contacts multiple glomeruli
- Interneurons (PG) also participate in processing (inhibition)
- Bulb also gets info from the cortex

Note:
- todo
Neurons of olfactory bulb
Note:
Olfactory pathways
- OB axons go to piriform (olfactory) cortex, amygdala (fear), entorhinal cortex (hippocampus, memory)
- VNO axons go directly to amygdala (fear)

Note:
- fig origin unknown. No find through image search
Organization of the human olfactory system
- piriform ctx and OFC: conscious odor perception, multimodal association
- olfactory tubercle: reward, motivation
- amygdala, hypothalamus: fear, aggression, feeding, reproduction
- entorhinal ctx, hippocampal formation: memory
Note:
piriform ctx and OFC: conscious odor perception, multimodal association
olfactory tubercle: reward, motivation
amygdala, hypothalamus: fear, aggression, feeding, reproduction
entorhinal ctx, hippocampal formation: memory
Taste (gustation)
- Used to determine whether food should be ingested (together with smell, touch, and pain).
- Provides information about the identity, concentration, and pleasant or unpleasant quality of a substance.
- Works together with the GI system to get it ready to receive food (saliva and swallowing) or reject food (regurgitation).
- Information of texture and temperature of things in mouth processed by somatic sensory system receptors.
- Contains both peripheral receptors and central processing.
Note:
The gustatory system

Note:
These afferent fibers all end in the nucleus of the solitary tract (NST) in the medulla. From there the information flows mainly to the thalamus and then to the gustatory cortex.
pathways
- afferents from tongue and epiglottis to gustatory nucleus (in medulla next to 4th ventricle, part of solitary nuclear complex) and then to VPM
- from taste bud to solitary nuclear complex and then to VPM
- Solitary nuclear complext to nucleus ambiguous to salivary glands
- Other somatosensory to parabrachial nuclei
Cortical projections of gustatory pathway

From the VPM projections reach the gustatory cortex: anterior insular cortex and frontal operculum.
Information derived from different areas of the tongue is spatially segregated in the n. of the solitary tract, the thalamus, and the cortex. (Still true?)
Gustatory cortex
- Primary somatosensorycortex (Postcentral gyrus)
- Gustatory Cortex (frontal operculum andanterior insular cortex)
- Fronto-parietal operculum
- Lateral sulcus
- Insular cortex
- fig origin unknown.
Note that the gustatory cortex is very close to the tongue area on the somatosensory cortex!
Organization of the gustatory system

Note:
Taste perception
- Most tastes are hydrophilic molecules solubilized in saliva
- Tastants include salts, amino acids, sugars, acids, plant alkaloids
- quantity of substance also perceived, the higher the concentration the more intensity the taste
- Tastants act in the millimolar range, except for bitter things (strychnine 0.1 µM)
- The tongue is not strictly regionalized by taste although some areas are more sensitive than others
Note:
5 basic tastes
- Sweet (sucrose, aspartame, glycine, etc.)
- Sour (H+)
- Salty (Na+, some other salts)
- Umami (savory, glutamates)
- Bitter (alkaloids)

Note:
- fig origin unknown. No find through image search
The organization of the taste system
- Taste receptors are organized in taste buds
- Taste buds contain between 30-100 taste cells
- 75% of all taste buds are found in papillae
- There is great variability in the human population with respect to the number of taste buds
Note:
- 3-types: fungiform (25%, localized in anterior tongue), circumvallate (50%, rear of tongue) and foliate (25%, posterolateral edge)
Tongue anatomy

Types of papillae:
Circumvallatepapillae
Foliatepapillae
Fungiformpapillae
Structure of a taste bud

Note:
Tastes

Note:
Composite fMRI image showing different locations of activation in insular cortex to each of these tastes.
Taste receptors
- 5 distinct classes of taste receptors
- Salty and sour generally transduced by ions (Na+ or H+) that open channels
- This depolarizes neuron, that then leads to opening of voltage gated Na+ channels
- This depolarizes neuron more and leads to opening of voltage gated Ca2+ channels
- Leads to the release of serotonin
Note:
Taste receptors
- Sweet and Unami receptors are GPCRs that share a subunit called T1R3
- T1R3 is paired with T1R2 for sweet and T1R1 for amino acids
- T1R1 and T1R2 are expressed in non-overlapping neurons
- T1R2/3 activation leads to activation of PLC, increases IP3 and opens Ca2+channels (TRPM5). Ca2+ channel opening depolarizes cell
- Bitter taste receptors (T2R) have 30 subtypes. Multiple members are expressed in same neurons but not in same neurons as the others. These use a specific Gα called gustucin
Note:
Transduction mechanisms in a generic taste cell

Note:
amiloride sensstive ant channenels for salt
h+ sens trip channel for sour
T1R2-T1R3 g protein recept for sweet
T1R1T1R3 g proteain recep for umami with trpM5 IP3 Ca2+ channels
T2R gprotein for bitter with TRPM5 ca2+ channel
Taste receptors

Note:
Taste coding specificity and segregated representation

sweet a.a. and bitter receptors are expressed in diff subsets of taste cells.
gene from the TRPM5 channel is inactivated in ko mice and behavioral responses measured with taste preference test. Mouse gets two drinking spouts (one with water and one with tastant and relative frequency of licking is measured).
pleasant tastes (sugar and umami), incr concentration gives incr response. For bitter there is decr response.
KO the PLCB2 (phospholipase) and responses are eliminated to sweet, umami, and bitter but rescuing expression only in T2R expressing cells recovers just the bitter taste response to wildtype levels.
- Sour receptor is expressed in every taste bud but isn’t in the same neurons as other receptors
- An experiment to show that T1R2 is a sweet receptor and PKD2L1 is a sour receptor
- Taste pathways remain segregated in the cortex (Zuker lab imaging?)
Putting the bitter receptor into sweet receptor neurons will cause mice to be attracted to bitter!
Note:
Based on/adapted from Fig. 5 from Zhang et al., Cell 2003
http://www.sciencedirect.com/science/article/pii/S0092867403000710
And the Zuker lab has recently silenced specific brain areas for bitter and sweet in mouse to alter perceptive sense of these tastes:
Peng et al, Nature 2015
http://www.nature.com/nature/journal/vaop/ncurrent/pdf/nature15763.pdf
Stimulation of the ‘bitter’ taste cortex is sufficient to make a mouse pucker

Note:
Based on/adapted from Fig. 5 from Zhang et al., Cell 2003
http://www.sciencedirect.com/science/article/pii/S0092867403000710
And the Zuker lab has recently silenced specific brain areas for bitter and sweet in mouse to alter perceptive sense of these tastes:
Peng et al, Nature 2015
http://www.nature.com/nature/journal/vaop/ncurrent/pdf/nature15763.pdf
Bradbury J (2004) Taste Perception: Cracking the Code. PLoS Biol 2(3): e64. doi:10.1371/journal.pbio.0020064
The physiology of flavor perception
- Responses from taste and smell are first combined in the orbital frontal cortex (OFC)
- OFC also receives input from the primary somatosensory cortex and the inferotemporal cortex in the visual what pathway
- Bimodal neurons in this area respond to taste and smell as well as taste and vision
- Firing of these neurons is also affected by the level of hunger of the animal for a specific food

Note:
Multimodal integration in orbitofrontal cortex

Note:
The orbital frontal cortex (OFC) receives inputs from vision, olfaction, and touch, as shown. It is the first area where signals from the taste and smell systems meet. (info based on E. T. Rolls (2000). The orbitofrontal cortex and reward. Cerebral Cortex, 10, 284-294, Fig. 2.)









